Skip to content Skip to sidebar Skip to footer

Dental Health Associates Baraboo: Your Destination for Comprehensive Dental Care

Dental Health Associates Baraboo

Dental Health Associates Baraboo: Comprehensive Dental Care for the Whole Family

Dental Health Associates Baraboo is a leading provider of dental care services in the Baraboo and surrounding areas. Our clinic is home to experienced and highly skilled dentists who are dedicated to ensuring the best possible oral health outcomes for our patients. At Dental Health Associates Baraboo, we believe that everyone deserves to have a healthy and beautiful smile, which is why we offer a wide variety of dental treatments and services to meet the needs of every member of your family.

Preventive Dentistry

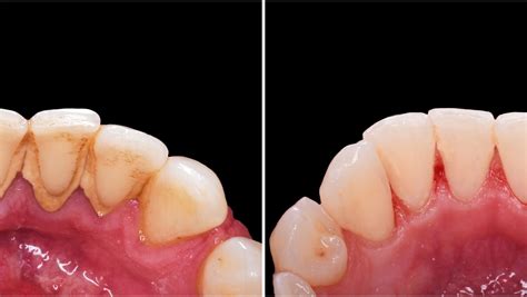
Preventive dentistry is the foundation of our approach to oral health care. We believe that it is much easier to prevent problems than to treat them after they have already developed. That’s why we emphasize regular dental checkups and cleanings as well as other preventive measures such as fluoride treatments and dental sealants. By taking a proactive approach to oral health, we can help you avoid many common dental problems, including cavities, gum disease, and tooth loss.

Restorative Dentistry

If you do experience dental problems such as cavities or tooth decay, our team is here to help. With our advanced restorative dentistry services, we can repair and restore damaged teeth so that they look and function just like natural teeth. Our restorative dentistry treatments include everything from fillings and crowns to bridges and implants.

Cosmetic Dentistry

At Dental Health Associates Baraboo, we believe that everyone deserves to feel confident and happy with their smile. That’s why we offer a range of cosmetic dentistry treatments to enhance the appearance of your teeth and gums. Our cosmetic dentistry services include teeth whitening, veneers, and bonding, among others.

Orthodontics

Proper alignment of your teeth is essential to your oral health as well as the appearance of your smile. At Dental Health Associates Baraboo, we offer orthodontic treatments to help you achieve a straighter, more beautiful smile. Our orthodontic services include both traditional braces and Invisalign clear aligners, so you can choose the option that is right for you.

Sedation Dentistry

We understand that many people get nervous or anxious about visiting the dentist, which is why we offer sedation dentistry services to help you relax and stay comfortable during your appointment. Our team is experienced in administering different levels of sedation, so you can choose the one that is most appropriate for your needs.

Pediatric Dentistry

We love treating patients of all ages at Dental Health Associates Baraboo, including children! Our pediatric dentistry services are designed to help young patients develop good oral hygiene habits and maintain optimal oral health as they grow. We provide a fun and supportive atmosphere in our office to help kids feel comfortable and engaged during their appointments.

Emergency Dental Care

Dental emergencies can happen at any time, and we understand the importance of getting prompt treatment when you need it most. That’s why we offer emergency dental care services during our regular business hours as well as after hours for our established patients. If you experience a dental emergency, don’t hesitate to contact us right away.

Why Choose Dental Health Associates Baraboo?

When it comes to choosing a dental provider for you and your family, you want to be sure that you are choosing the best. Here are just a few reasons why patients choose Dental Health Associates Baraboo:

Comprehensive Services

We offer a wide variety of dental services to meet the needs of patients of all ages and health conditions. From preventive dentistry to emergency dental care, we have you covered.

Experienced Dentists

Our dentists are highly experienced in providing advanced dental treatments and services. They are dedicated to staying up-to-date with the latest developments in dental technology and techniques to ensure the best possible outcomes for our patients.

Friendly Atmosphere

We understand that many people find visiting the dentist to be a nerve-wracking experience. That’s why we work hard to create a friendly and welcoming atmosphere in our office. We want you to feel comfortable and confident that you are receiving the best possible care.

State-of-the-Art Facilities

We use only the latest dental technology and equipment to ensure the highest quality care for our patients. Our facilities are modern and well-maintained, with a focus on patient comfort and safety.

Flexible Payment Options

We believe that everyone deserves access to high-quality dental care, which is why we offer a variety of payment options to fit your budget. We accept most insurance plans as well as offer financing options to help make dental care more affordable for our patients.

Contact Us Today to Schedule an Appointment

If you are looking for a trusted and experienced provider of dental care services in the Baraboo area, look no further than Dental Health Associates Baraboo. Our team is dedicated to helping you achieve optimal oral health and a beautiful smile. Contact us today to schedule an appointment and experience the Dental Health Associates Baraboo difference!

teeth cleaning

Keyword : teeth cleaning, cavity filling, teeth whitening, root canal therapy, porcelain veneers, dental implants, orthodontics, emergency dental care, sedation dentistry, oral cancer screening, gum disease treatment, tooth extractions, dental crowns and bridges, dental hygiene education, pediatric dentistry.

Dental Health Associates Baraboo: Pros, Cons and Benefits

When it comes to taking care of your oral health, finding the right dental practitioner is paramount. One such practice is Dental Health Associates Baraboo. Located in Wisconsin, this practice offers a wide range of dental services for patients of all ages. In this article, we will explore the pros, cons and benefits of Dental Health Associates Baraboo.

Pros:

One of the biggest advantages of Dental Health Associates Baraboo is that they have a team of experienced dental professionals. The practitioners at the practice have been providing dental services for several years and are knowledgeable about the latest dental technologies and techniques.Another advantage is that Dental Health Associates Baraboo offers a comprehensive range of dental services. They offer everything from routine cleanings and checkups to more advanced procedures like dental implants and root canal therapy.In addition, Dental Health Associates Baraboo has invested in state-of-the-art dental technologies, which means they can provide their patients with the best possible care. For instance, they use digital X-rays, which produce images in seconds and also expose patients to less radiation than traditional X-rays.

Cons:

One potential drawback of Dental Health Associates Baraboo is that they only have one location. While this may not be an issue for people who live in Baraboo or the surrounding areas, it could make it challenging for individuals who live further away and require frequent dental visits.

Benefits:

One key benefit of going to Dental Health Associates Baraboo is that they prioritize patient comfort. They understand that going to the dentist can be a nerve-wracking experience for some people, and they take steps to alleviate any anxieties their patients may have. They do this by providing sedation dentistry, which involves using medication to help patients relax during dental procedures.Another benefit of choosing Dental Health Associates Baraboo is that they are committed to staying at the forefront of dental trends and technologies. They regularly attend conferences and training sessions to ensure they are up-to-date with the latest developments in dentistry.Overall, Dental Health Associates Baraboo is a reputable dental practice that offers a range of services using state-of-the-art technology. While there are some minor drawbacks, the benefits of going to this practice far outweigh them. You can trust Dental Health Associates Baraboo to provide you with the high-quality dental care you deserve.

Dental Health Associates Baraboo FAQ

What dental services do you offer?

We offer a wide range of dental services such as general dentistry, cosmetic dentistry, oral surgery, and orthodontics. We also offer emergency dental care.

Do you accept insurance?

Yes, we accept most dental insurances. We also offer payment plans and financing options for those without insurance.

What can I expect during my first visit?

During your first visit, we will do a comprehensive dental exam and take x-rays if necessary. We will also discuss your dental history and any concerns you may have. From there, we will create a personalized treatment plan for you.

Can you whiten my teeth?

Yes, we offer both in-office and take-home teeth whitening options to give you a brighter smile.

Do you also offer children’s dentistry?

Yes, we offer children’s dentistry services to help keep your child’s teeth healthy and strong. We also make sure that our office is a comfortable and friendly environment for kids.

Dental,Health,Associates,Baraboo,Destination,Comprehensive,Dental